支持7-11 全家超商取貨 貨到付款

從形態特徵、鑑別診斷、診斷陷阱及經典圖例等方面對泌尿生殖系統的各種病變進行了詳盡介紹









著者結合各種病變的形態學共有特點,根據相似“病變模式”進行劃分,符合病理閱片過程中第一步“低倍瀏覽”的重要環節。劃分爲不同模塊後,讀者可以非常便捷地從自己最熟悉的形態學着手,“按圖索驥”般地找到相應模塊,進一步瞭解其中形態類似而發生機制、組織來源及分子病理不同的腫瘤。

本書引進自 Wolters Kluwer 出版集團,由深耕泌尿系統專科病理多年的國際知名專家傾力打造,由國內中山大學附屬第一醫院病理醫師精心翻譯。著者從形態特點、鑑別診斷、診斷陷阱及經典圖例等方面對泌尿生殖系統的各種病變進行了詳盡介紹,並對 2022 年版泌尿生殖系統腫瘤 WHO 分類進行了有益的補充。本書內容深入淺出,圖文並茂,能夠幫助初學者快速掌握泌尿生殖病理的診斷思路、要點及方法,可作爲病理科住院醫師規範化培訓和泌尿生殖病理亞專科培養的教學輔導書,也可供對泌尿生殖病理診斷有興趣的腫瘤科醫師及醫學相關專業人士閱讀參考。

陳文芳 中山大學附屬第一醫院病理科
·教授,主任醫師,博士生導師
·中山大學附屬第一醫院病理科副主任、南沙院區病理科執行主任
·從事臨牀病理診斷、教學和科研工作,研究方向爲泌尿系統疾病,擅長泌尿系統腫瘤、炎症性疾病及腎移植病理診斷
·美國德州大學西南醫學中心訪問學者,在Nature、European Journal of Cancer等雜誌發表論文20餘篇
·主持國家自然科學基金3項,廣東省自然科學基金1項
·中山一院新銳人才,廣東省衛健委“廣東省傑出青年醫學人才”,廣東省科技廳特支計劃“科技創新青年拔尖人才”
·中華醫學會器官移植分會移植病理學組副組長(第一屆)、中國非公腎臟病透析專業委員會腎臟病理學組副組長、廣東省醫師協會病理醫師分會委員、廣東省醫師協會腎臟內科醫師分會臨牀病理專業組委員、廣東省醫療行業協會腎內科管理分會副主任委員
楊詩聰 中山大學附屬第一醫院病理科
·博士 副主任醫師 碩士生導師
·中華醫學會病理學分會泌尿及男性生殖學組委員、中國醫學裝備協會病理裝備分會委員、中國醫促會移植分會病理學組副組長、廣東省醫療行業協會腎內科專科管理分會委員、廣東省抗癌協會小兒腫瘤專業委員會委員
·主持國家自然科學基金等科研及教學改革項目共5項
·以第一作者及通訊作者在SCI期刊及中文核心期刊論文二十餘篇

第 1 章 前列腺
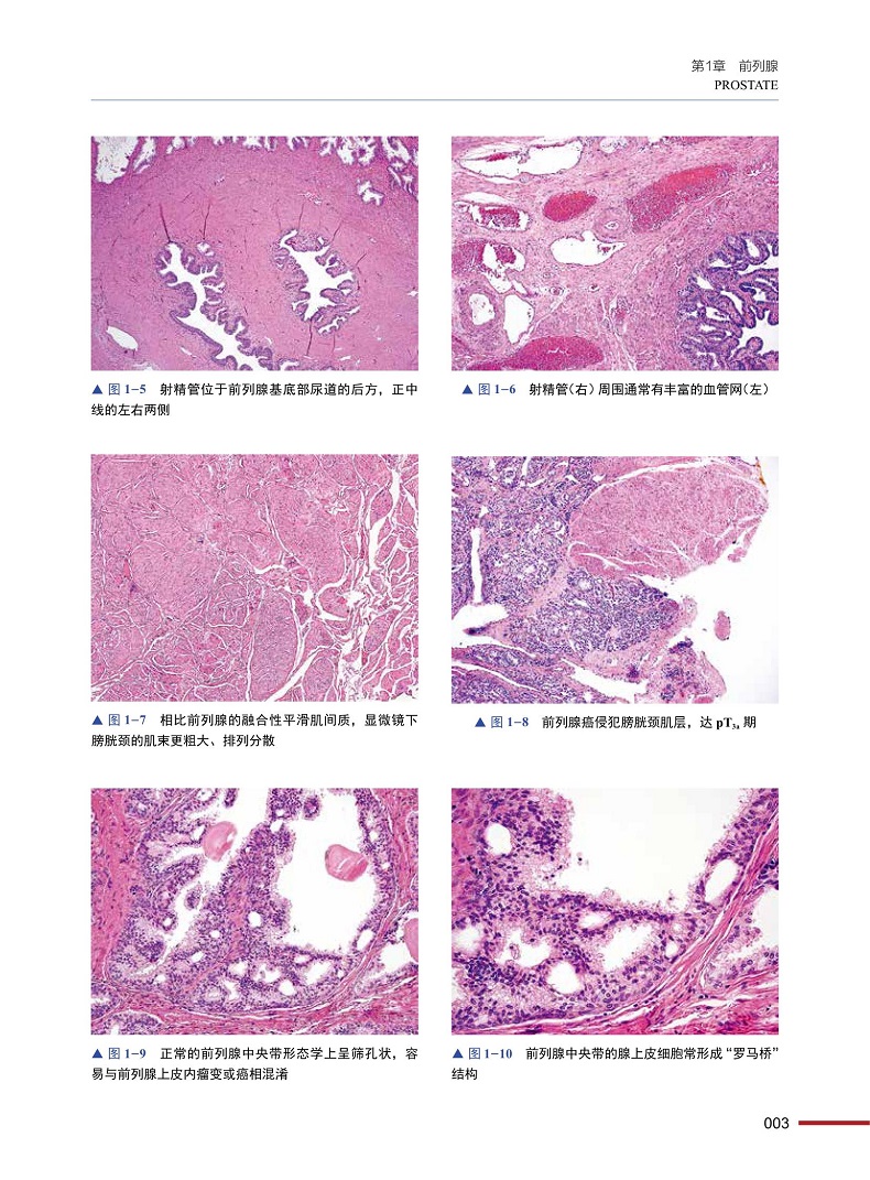
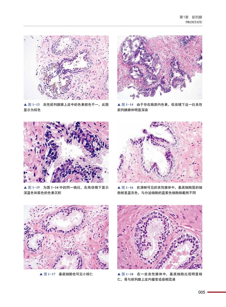
一、前列腺的正常結構及非腫瘤性改變
二、小圓形腺上皮病變
三、腺體形成不良的病變以及類似病變
四、大 / 複雜的腺體病變
五、小藍細胞腫瘤
六、間質病變
七、精囊腺腫瘤
八、前列腺標本的報告要素
九、易錯病變
第 2 章 膀胱
一、正常膀胱及膀胱的非腫瘤性病變
二、膀胱表面上皮病變
三、膀胱深部病變
四、易錯病變
第 3 章 腎臟
一、正常腎臟及腎臟非腫瘤性病變
二、腫瘤
三、腎癌分期
四、腎癌分級
五、炎性模式和假瘤
六、易錯病變
第 4 章 睾丸
一、正常睾丸
二、睾丸及附睾的非腫瘤性病變
三、睾丸腫瘤
四、易錯病變
第 5 章 睾丸旁及外生殖器
一、睾丸旁組織
二、陰囊和陰莖
三、易錯病變
附錄 自測題及答案
自測題
自測題答案

臺中陳**[0920***448]
25分鐘前2024新書推薦:國際經典病理學譯著【泌尿生殖病理學圖譜:基於模式的診斷方法】精裝 - 國際經典病理學譯著【泌尿生殖病理學圖譜:基於模式的診斷方法】精裝
新竹鄭**[0968***920]
5分鐘前2024新書推薦:國際經典病理學譯著【泌尿生殖病理學圖譜:基於模式的診斷方法】精裝 - 國際經典病理學譯著【泌尿生殖病理學圖譜:基於模式的診斷方法】精裝
新竹謝**[0956***796]
7分鐘前2024新書推薦:國際經典病理學譯著【泌尿生殖病理學圖譜:基於模式的診斷方法】精裝 - 國際經典病理學譯著【泌尿生殖病理學圖譜:基於模式的診斷方法】精裝
桃園張**[0932***894]
25分鐘前2024新書推薦:國際經典病理學譯著【泌尿生殖病理學圖譜:基於模式的診斷方法】精裝 - 國際經典病理學譯著【泌尿生殖病理學圖譜:基於模式的診斷方法】精裝
基隆王**[0920***339]
20分鐘前2024新書推薦:國際經典病理學譯著【泌尿生殖病理學圖譜:基於模式的診斷方法】精裝 - 國際經典病理學譯著【泌尿生殖病理學圖譜:基於模式的診斷方法】精裝
嘉義朱**[0988***209]
20分鐘前2024新書推薦:國際經典病理學譯著【泌尿生殖病理學圖譜:基於模式的診斷方法】精裝 - 國際經典病理學譯著【泌尿生殖病理學圖譜:基於模式的診斷方法】精裝
新北劉**[0920***967]
20分鐘前2024新書推薦:國際經典病理學譯著【泌尿生殖病理學圖譜:基於模式的診斷方法】精裝 - 國際經典病理學譯著【泌尿生殖病理學圖譜:基於模式的診斷方法】精裝
新竹鍾**[0938***878]
5分鐘前2024新書推薦:國際經典病理學譯著【泌尿生殖病理學圖譜:基於模式的診斷方法】精裝 - 國際經典病理學譯著【泌尿生殖病理學圖譜:基於模式的診斷方法】精裝
嘉義李**[0932***240]
11分鐘前2024新書推薦:國際經典病理學譯著【泌尿生殖病理學圖譜:基於模式的診斷方法】精裝 - 國際經典病理學譯著【泌尿生殖病理學圖譜:基於模式的診斷方法】精裝
基隆方**[0933***700]
4分鐘前2024新書推薦:國際經典病理學譯著【泌尿生殖病理學圖譜:基於模式的診斷方法】精裝 - 國際經典病理學譯著【泌尿生殖病理學圖譜:基於模式的診斷方法】精裝
臺南柳**[0932***762]
11分鐘前2024新書推薦:國際經典病理學譯著【泌尿生殖病理學圖譜:基於模式的診斷方法】精裝 - 國際經典病理學譯著【泌尿生殖病理學圖譜:基於模式的診斷方法】精裝
臺北朱**[0956***455]
20分鐘前2024新書推薦:國際經典病理學譯著【泌尿生殖病理學圖譜:基於模式的診斷方法】精裝 - 國際經典病理學譯著【泌尿生殖病理學圖譜:基於模式的診斷方法】精裝
臺南符**[0956***328]
2分鐘前2024新書推薦:國際經典病理學譯著【泌尿生殖病理學圖譜:基於模式的診斷方法】精裝 - 國際經典病理學譯著【泌尿生殖病理學圖譜:基於模式的診斷方法】精裝
桃園錢**[0988***553]
5分鐘前2024新書推薦:國際經典病理學譯著【泌尿生殖病理學圖譜:基於模式的診斷方法】精裝 - 國際經典病理學譯著【泌尿生殖病理學圖譜:基於模式的診斷方法】精裝
嘉義李**[0960***526]
15分鐘前2024新書推薦:國際經典病理學譯著【泌尿生殖病理學圖譜:基於模式的診斷方法】精裝 - 國際經典病理學譯著【泌尿生殖病理學圖譜:基於模式的診斷方法】精裝
臺南錢**[0960***499]
半小時前2024新書推薦:國際經典病理學譯著【泌尿生殖病理學圖譜:基於模式的診斷方法】精裝 - 國際經典病理學譯著【泌尿生殖病理學圖譜:基於模式的診斷方法】精裝
高雄鍾**[0986***969]
11分鐘前2024新書推薦:國際經典病理學譯著【泌尿生殖病理學圖譜:基於模式的診斷方法】精裝 - 國際經典病理學譯著【泌尿生殖病理學圖譜:基於模式的診斷方法】精裝
臺南謝**[0988***165]
12分鐘前2024新書推薦:國際經典病理學譯著【泌尿生殖病理學圖譜:基於模式的診斷方法】精裝 - 國際經典病理學譯著【泌尿生殖病理學圖譜:基於模式的診斷方法】精裝
臺南謝**[0933***352]
2分鐘前2024新書推薦:國際經典病理學譯著【泌尿生殖病理學圖譜:基於模式的診斷方法】精裝 - 國際經典病理學譯著【泌尿生殖病理學圖譜:基於模式的診斷方法】精裝
新北周**[0918***251]
12分鐘前2024新書推薦:國際經典病理學譯著【泌尿生殖病理學圖譜:基於模式的診斷方法】精裝 - 國際經典病理學譯著【泌尿生殖病理學圖譜:基於模式的診斷方法】精裝
基隆鄭**[0978***470]
25分鐘前2024新書推薦:國際經典病理學譯著【泌尿生殖病理學圖譜:基於模式的診斷方法】精裝 - 國際經典病理學譯著【泌尿生殖病理學圖譜:基於模式的診斷方法】精裝
高雄周**[0933***385]
7分鐘前2024新書推薦:國際經典病理學譯著【泌尿生殖病理學圖譜:基於模式的診斷方法】精裝 - 國際經典病理學譯著【泌尿生殖病理學圖譜:基於模式的診斷方法】精裝
嘉義鄭**[0978***916]
半小時前2024新書推薦:國際經典病理學譯著【泌尿生殖病理學圖譜:基於模式的診斷方法】精裝 - 國際經典病理學譯著【泌尿生殖病理學圖譜:基於模式的診斷方法】精裝
基隆王**[0933***132]
11分鐘前2024新書推薦:國際經典病理學譯著【泌尿生殖病理學圖譜:基於模式的診斷方法】精裝 - 國際經典病理學譯著【泌尿生殖病理學圖譜:基於模式的診斷方法】精裝
臺南仲**[0960***814]
25分鐘前2024新書推薦:國際經典病理學譯著【泌尿生殖病理學圖譜:基於模式的診斷方法】精裝 - 國際經典病理學譯著【泌尿生殖病理學圖譜:基於模式的診斷方法】精裝
高雄陳**[0946***216]
15分鐘前2024新書推薦:國際經典病理學譯著【泌尿生殖病理學圖譜:基於模式的診斷方法】精裝 - 國際經典病理學譯著【泌尿生殖病理學圖譜:基於模式的診斷方法】精裝
新竹錢**[0986***865]
25分鐘前2024新書推薦:國際經典病理學譯著【泌尿生殖病理學圖譜:基於模式的診斷方法】精裝 - 國際經典病理學譯著【泌尿生殖病理學圖譜:基於模式的診斷方法】精裝
新北鍾**[0998***395]
25分鐘前2024新書推薦:國際經典病理學譯著【泌尿生殖病理學圖譜:基於模式的診斷方法】精裝 - 國際經典病理學譯著【泌尿生殖病理學圖譜:基於模式的診斷方法】精裝
臺南楊**[0966***409]
2分鐘前2024新書推薦:國際經典病理學譯著【泌尿生殖病理學圖譜:基於模式的診斷方法】精裝 - 國際經典病理學譯著【泌尿生殖病理學圖譜:基於模式的診斷方法】精裝
臺北朱**[0920***818]
半小時前2024新書推薦:國際經典病理學譯著【泌尿生殖病理學圖譜:基於模式的診斷方法】精裝 - 國際經典病理學譯著【泌尿生殖病理學圖譜:基於模式的診斷方法】精裝
嘉義謝**[0933***782]
7分鐘前2024新書推薦:國際經典病理學譯著【泌尿生殖病理學圖譜:基於模式的診斷方法】精裝 - 國際經典病理學譯著【泌尿生殖病理學圖譜:基於模式的診斷方法】精裝
新北方**[0946***476]
12分鐘前2024新書推薦:國際經典病理學譯著【泌尿生殖病理學圖譜:基於模式的診斷方法】精裝 - 國際經典病理學譯著【泌尿生殖病理學圖譜:基於模式的診斷方法】精裝
新竹劉**[0946***244]
12分鐘前2024新書推薦:國際經典病理學譯著【泌尿生殖病理學圖譜:基於模式的診斷方法】精裝 - 國際經典病理學譯著【泌尿生殖病理學圖譜:基於模式的診斷方法】精裝
臺中鄭**[0988***252]
12分鐘前2024新書推薦:國際經典病理學譯著【泌尿生殖病理學圖譜:基於模式的診斷方法】精裝 - 國際經典病理學譯著【泌尿生殖病理學圖譜:基於模式的診斷方法】精裝
臺南張**[0933***981]
11分鐘前2024新書推薦:國際經典病理學譯著【泌尿生殖病理學圖譜:基於模式的診斷方法】精裝 - 國際經典病理學譯著【泌尿生殖病理學圖譜:基於模式的診斷方法】精裝
基隆黃**[0986***684]
25分鐘前2024新書推薦:國際經典病理學譯著【泌尿生殖病理學圖譜:基於模式的診斷方法】精裝 - 國際經典病理學譯著【泌尿生殖病理學圖譜:基於模式的診斷方法】精裝
臺中李**[0933***940]
20分鐘前2024新書推薦:國際經典病理學譯著【泌尿生殖病理學圖譜:基於模式的診斷方法】精裝 - 國際經典病理學譯著【泌尿生殖病理學圖譜:基於模式的診斷方法】精裝
臺南朱**[0986***238]
2分鐘前2024新書推薦:國際經典病理學譯著【泌尿生殖病理學圖譜:基於模式的診斷方法】精裝 - 國際經典病理學譯著【泌尿生殖病理學圖譜:基於模式的診斷方法】精裝
新竹謝**[0933***957]
2分鐘前2024新書推薦:國際經典病理學譯著【泌尿生殖病理學圖譜:基於模式的診斷方法】精裝 - 國際經典病理學譯著【泌尿生殖病理學圖譜:基於模式的診斷方法】精裝
新竹王**[0920***502]
25分鐘前2024新書推薦:國際經典病理學譯著【泌尿生殖病理學圖譜:基於模式的診斷方法】精裝 - 國際經典病理學譯著【泌尿生殖病理學圖譜:基於模式的診斷方法】精裝
新竹陳**[0960***947]
7分鐘前2024新書推薦:國際經典病理學譯著【泌尿生殖病理學圖譜:基於模式的診斷方法】精裝 - 國際經典病理學譯著【泌尿生殖病理學圖譜:基於模式的診斷方法】精裝
臺南孫**[0938***177]
25分鐘前2024新書推薦:國際經典病理學譯著【泌尿生殖病理學圖譜:基於模式的診斷方法】精裝 - 國際經典病理學譯著【泌尿生殖病理學圖譜:基於模式的診斷方法】精裝
臺北鍾**[0966***559]
11分鐘前2024新書推薦:國際經典病理學譯著【泌尿生殖病理學圖譜:基於模式的診斷方法】精裝 - 國際經典病理學譯著【泌尿生殖病理學圖譜:基於模式的診斷方法】精裝
桃園仲**[0951***587]
4分鐘前2024新書推薦:國際經典病理學譯著【泌尿生殖病理學圖譜:基於模式的診斷方法】精裝 - 國際經典病理學譯著【泌尿生殖病理學圖譜:基於模式的診斷方法】精裝
高雄黃**[0918***742]
2分鐘前2024新書推薦:國際經典病理學譯著【泌尿生殖病理學圖譜:基於模式的診斷方法】精裝 - 國際經典病理學譯著【泌尿生殖病理學圖譜:基於模式的診斷方法】精裝
新北黃**[0938***675]
12分鐘前2024新書推薦:國際經典病理學譯著【泌尿生殖病理學圖譜:基於模式的診斷方法】精裝 - 國際經典病理學譯著【泌尿生殖病理學圖譜:基於模式的診斷方法】精裝
臺中鍾**[0956***332]
半小時前2024新書推薦:國際經典病理學譯著【泌尿生殖病理學圖譜:基於模式的診斷方法】精裝 - 國際經典病理學譯著【泌尿生殖病理學圖譜:基於模式的診斷方法】精裝
桃園符**[0932***468]
20分鐘前2024新書推薦:國際經典病理學譯著【泌尿生殖病理學圖譜:基於模式的診斷方法】精裝 - 國際經典病理學譯著【泌尿生殖病理學圖譜:基於模式的診斷方法】精裝
高雄柳**[0920***485]
半小時前2024新書推薦:國際經典病理學譯著【泌尿生殖病理學圖譜:基於模式的診斷方法】精裝 - 國際經典病理學譯著【泌尿生殖病理學圖譜:基於模式的診斷方法】精裝
基隆方**[0938***176]
半小時前2024新書推薦:國際經典病理學譯著【泌尿生殖病理學圖譜:基於模式的診斷方法】精裝 - 國際經典病理學譯著【泌尿生殖病理學圖譜:基於模式的診斷方法】精裝

NT$1960
2025新書推薦:【Fitzpatrick皮膚病臨床治療手冊】

NT$1969
脊柱解剖新觀念(精裝)

NT$1925
魏希進:秒懂心電圖百科(全彩)

NT$1568
女性生殖器美學與功能整形圖譜

NT$2330
2023新書推薦:陶瓷全髖關節置換術——理論與臨床實踐

NT$3150
臨床血管外科學(第5版)+急診血管外科——實用指南 (原著第2版)

NT$2830
【正版】奈特人體解剖學彩色圖譜(第7版)

NT$2350
【顱腦影像與臨床神經解剖:MRI與CT圖譜】(原著第4版)

NT$2999
【肌肉骨骼系統成像基礎】+【肌肉骨骼影像技術手冊:初級指南】

NT$1750
【BROWN皮膚外科及門診手術:教程和圖解】

NT$2150
【趙紹琴親傳醫學全集】(套裝共6本)

NT$1580
【麻省總醫院臨床麻醉手冊】(第10版)

NT$1480
中國家庭醫生手冊 上下冊

NT$1800
自然醫學百科全三冊

NT$3200
醫學大神14冊套裝 現代醫學史詩

NT$2000
牛津醫學教育教科書 (英)基蘭·沃爾什 著

NT$1850
【血小板】(第4四版 翻譯版)

NT$2980
2022版臨床內分泌學第2版

NT$2299
【生物物理學:能量、信息、生命(修訂版)】+【細胞的物理生物學】(全新塑封兩册)

NT$1399
【屍變圖鑑】:自然環境下的屍體變化(陳祿仕,法醫專業書籍)

NT$1900
藥用植物分子遺傳學

NT$1500
【施羅特脊柱側凸三維治療】(第9版)

NT$2450
心力衰竭機械支持治療:【當前策略與新技術】(全彩塑封)

NT$2580
針刀醫學基礎與臨床:【骨關節疾病分冊】+【肌損傷、周圍神經卡壓分冊】(全新塑封兩冊)

NT$1580
【免疫檢測原理與應用】(全新塑封)

NT$1800
實用美容皮膚科學

NT$1580
麻省總醫院抑鬱症診療指南:治療新見解和新選擇

NT$1800
《臨床神經解剖學:病例解析》+《臨床神經解剖圖譜:第2版》2冊

NT$1210
身體裡的小伙伴:荷爾蒙+細菌(全兩冊)

NT$1780
外科學(第3版/八年制/配增值/上、下冊)