支持7-11 全家超商取貨 貨到付款



“咬合誘導”不單單是指治療,更大意義在於隨訪、兒童口腔的保健,更是兒童牙頜面發育的管理。另一方面,對於病因去除後已經出現的牙頜面畸形,早期大多是輕度的,以最小的干預獲得最大*的效果,力爭儘早回歸到正確的生長方向,達到事半功倍的效果。















【兒童咬合誘導】出版時間2020年3月
《兒童咬合誘導——全科醫生進階的必修技能》! 上海九院朱敏教授主審,黃河院長主譯! 國內知名兒牙專家、正畸專家聯合譯製推薦! 跟大咖一起探究擴弓治療的界限和早期咬合誘導的奧秘?
“咬合誘導(Denture guidance)”這一專業用語誕生在1960年,至今已經沿用50多年。 深田英朗醫生和落合靖一醫生將Brauer編著的《兒童口腔醫學Dentistry for children》第5章“預防矯正Preventive Orthodontic”出現的“Denture guidance”一詞譯為“咬合誘導”。 之後,深田醫生在1963年將此定義和理念發表在《小兒齒科學雜志》1卷1號中。
“牙齒自胚胎30~40日起開始形成,到完成恒牙列咬合的漫長期間,牙齒、頜骨、顏面軟組織都相互影響發生了多次變化。這期間都應該儘量保持正確的生長方向,如果發現哪怕只是一點點的不協調,也要盡可能去查找原因,去除原因。另外,有時會不幸因為沒有察覺到的原因導致生長方向紊亂,此時 應儘早加以糾正使其回歸到正確的方向。 由此可見,以上的所有努力都應該被定義為‘Denture guidance’。 (省略)總之,把兒童口腔治療說成是‘進行正確的咬合誘導’絕不過分。”
這篇文章發表在20世紀60年代,那是一個兒童猖獗齲盛行,僅是治療齲病就已經耗盡精力的時代,我對深田醫生和落合醫生提出咬合誘導理論的遠見性感到非常驚訝,這在現代及未來都是通用和完美的理念。
受這個理念啟發,除了齲病預防、牙周病預防這些理所應當的事情,筆者認為更應該從幼兒期、學齡期儘早發現和去除不正咬合的原因,聯合利用頜骨、顏面部軟組織、牙列的發育,建立健全的恒牙咬合。
牙列擁擠是日本人發病率較高的錯畸形,傳統的治療從恒牙列完成時開始,多數病例不可避免地需要拔除4顆前磨牙。 但是,如果在混合牙列期的適宜時期利用生長發育機制擴大牙列,依次去除引起錯畸形的原因,向正確的方向進行咬合誘導,多數病例在恒牙列期可以通過非拔牙矯正治療實現目標。 當然,並不是所有擁擠病例都能依靠非拔牙矯正治療解决,咬合誘導有它的界限和缺點,我將通過大量的病例加以介紹。
內容簡介
基於咬合誘導理念,本書將介紹“如何有效地擴大牙弓(擴弓)和活動矯治器的局限性”,如果能對大家有所幫助我將感到非常榮幸。
作為一名正畸醫生,應該深知早期矯治的重要性,非常同意對於“咬合誘導”的廣義定義。自胚胎35~40日牙齒開始形成起到完成恆牙列咬合,這是一個漫長的時期,期間的變化不僅僅是牙列及咬合,還包括頜骨、顏面的發育。無論是兒童口腔醫生、正畸醫生,還是口腔全科醫生,如果能儘早發現兒童牙頜面的不協調,哪怕是一點點,也要盡可能去查找原因並去除原因,以維護其正確的生長方向。因此,此“咬合誘導”不單單是指治療,更大意義在於隨訪、兒童口腔的保健,更是兒童牙頜面發育的管理,此乃口腔中的“上醫治未病”。另一方面,對於病因去除後已經出現的牙頜面畸形,早期大多是輕度的,以最小的干預獲得最大的效果,力爭儘早回歸到正確的生長方向,此乃“中醫治欲病”。 “咬合誘導”從另一層面詮釋了《黃帝內經》中這句中國古語的從醫意境。
作者簡介
朱敏,上海交通大學醫學院附屬第九人民醫院口腔顱頜面科副主任,主任醫師、醫學博士,碩士研究生導師。國際牙醫師學院院士,中華口腔醫學會口腔正畸專業委員會委員,中國整形美容協會牙頜顏面醫療美容分會常務理事,中國醫師協會睡眠呼吸專業委員會口腔學組組長, 中國睡眠研究會睡眠呼吸障礙專業委員會常委,中國睡眠研究會睡眠醫學教育專業委員會常委,中國整形美容協會數字與精準醫學分會顱頜面畸形專業委員會副主任委員。獲得多項國家、省部級課題資助,作者或通訊作者發表SCI收錄論文16篇,擁有專利8項。
黃河,蘇州索菲亞齒科院長,畢業於日本鹿兒島國立大學齒學部,擁有中日兩國醫師資格。蘇州民營口腔醫療協會副會長,華人美學牙科學會(CAED)理事,國際種植醫師學會(ICOI)研究員(FELLOW),中日醫學技術交流協會口腔分會委員,江蘇省口腔醫學會委員,中華口腔醫學會口腔種植專業委員會會員,江蘇省口腔綜合病例大賽二等獎,美國隱適美認證醫師,士卓曼特約講師,義獲嘉偉瓦登特公司特邀講師,GC而至齒科有限公司特邀講師。
----------------------------------------------------------------------------------





【兒童咬合發育管理 : 上齶形態、口腔機能與衰弱預防】出版時間:2020年9月
編輯推薦:
·完美的上齶形態、良好的口腔機能是一生口腔健康的基礎
·早期MFT(口腔肌功能訓練)糾正咀嚼異常、修正上齶形態
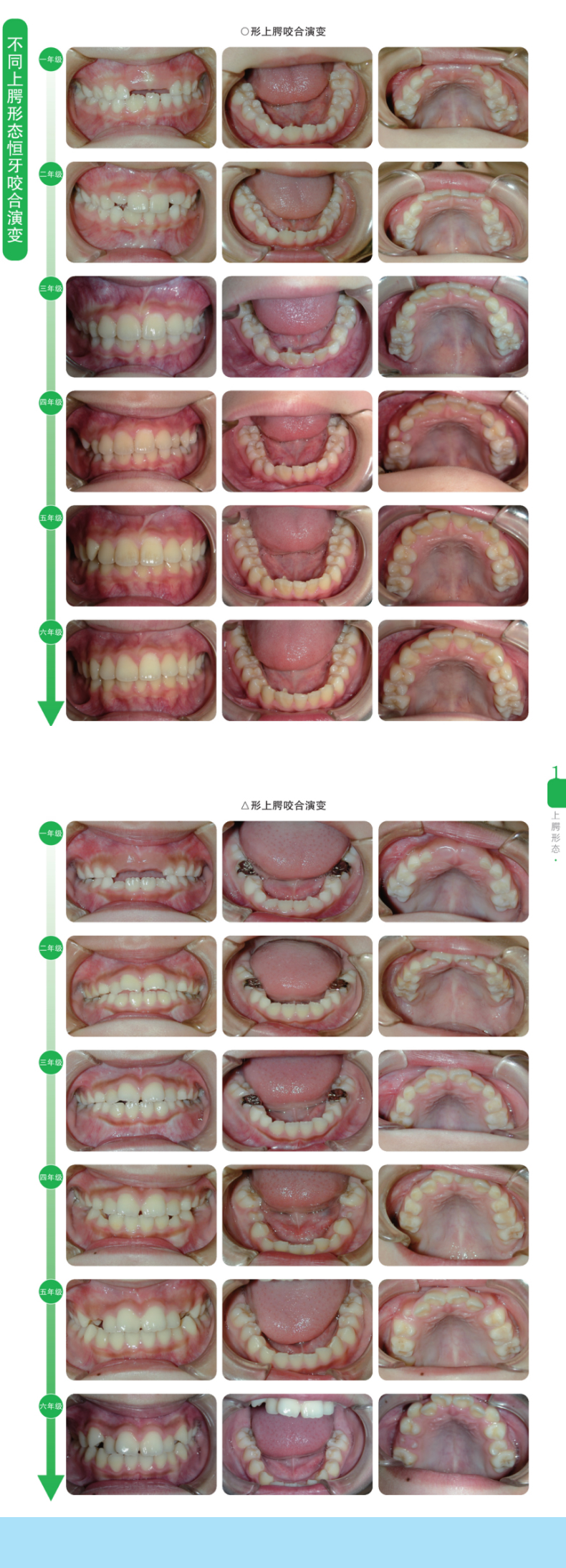
·增田純一:“我跟踪觀察了312名上齶形態不同(O形上齶、V形上齶和▲上齶)的小學生6年間(從一年級到六年級)的口腔咬合演變情況,通過對比驗證,得到了驚人的發現:小學一年級時上齶呈O形的兒童6年後很少出現錯頜;與之相反,上齶呈V形的兒童6年後全部都出現了錯頜。”
增田純一先生是日本著名兒牙早期咬合誘導專家,2018年曾到我國進行授課。他用了15年的時間,為312名小學生拍攝了13440張口內照片,記錄了這些小學生從1年級到6年級的口腔變化。作者發現,“上齶形態”“尖牙比”可以有效預判幼兒口腔形態發育和機能發育,並以此發現為基礎,提出了幼兒口腔機能的早期干預和訓練觀點,強調通過幫助兒童有意識地主動訓練,可以使兒童獲得良好的口腔機能和較好的頜面部面貌。
本書以案例展示+文字說明的形式呈現,收錄了90餘個兒童真實案例、700餘幅高清口腔照片,直觀地展示了三種上齶形態的差異以及不同的針對訓練所帶來的治療效果。書中觀點新穎、文字敘述通俗易懂,是一本非常優秀的口腔健康科普作品。
內容簡介:
本書中,增田純一先生根據自己的臨床經驗,運用大量臨床病例,圖文並茂,介紹了口腔醫療工作人員日常臨床常用且實用的兒童咬合發育管理基礎知識與基本技術,論述了從嬰幼兒時期開始的口腔發育和上齶形態形成、上齶形態與口腔機能不健全的關係、口腔檢查項目、MFT治療指導等內容,提出了“口腔是預防身體機能弱化的重點”“上齶形態像鏡子一樣,反映出孩子口腔機能的好壞”, 為口腔醫護人員學習和開展兒童咬合發育管理提供了理論知識和臨床病例指導。
作者簡介:
著者:増田純一,1942年出生於日本佐賀縣武雄市。日本小兒齒科學會的專業醫師認定,日本頷咬合學會指導醫師。 1967年於九州齒科大學畢業,1973年在福岡市東區開設增田齒科醫院,1982年在福岡市中央區開設增田小兒齒科醫院,1984年獲九州齒科大學口腔學博士學位,1986年出任日本小兒齒科學會理事。
譯者:楊正,西南醫科大學正畸學專業碩士,曾於華西醫科大學、重慶醫科大學、法國里爾大學、美國北卡羅來納大學研習口腔正畸學及種植學。鄭成燚,重鋼總醫院副主任醫師,畢業於西南醫科大學(原瀘州醫學院)。
目 錄

添加LINE,諮詢客服有優惠:yuekeshudian


臺北李**[0966***355]
半小時前【兒童咬合誘導】+【兒童咬合發育管理 : 上齶形態、口腔機能與衰弱預防】 - 【兒童咬合誘導】+【兒童咬合發育管理 : 上齶形態、口腔機能與衰弱預防】
臺中王**[0986***621]
12分鐘前【兒童咬合誘導】+【兒童咬合發育管理 : 上齶形態、口腔機能與衰弱預防】 - 【兒童咬合誘導】+【兒童咬合發育管理 : 上齶形態、口腔機能與衰弱預防】
臺中孫**[0946***342]
2分鐘前【兒童咬合誘導】+【兒童咬合發育管理 : 上齶形態、口腔機能與衰弱預防】 - 【兒童咬合誘導】+【兒童咬合發育管理 : 上齶形態、口腔機能與衰弱預防】
嘉義謝**[0966***311]
半小時前【兒童咬合誘導】+【兒童咬合發育管理 : 上齶形態、口腔機能與衰弱預防】 - 【兒童咬合誘導】+【兒童咬合發育管理 : 上齶形態、口腔機能與衰弱預防】
臺中鄭**[0938***445]
25分鐘前【兒童咬合誘導】+【兒童咬合發育管理 : 上齶形態、口腔機能與衰弱預防】 - 【兒童咬合誘導】+【兒童咬合發育管理 : 上齶形態、口腔機能與衰弱預防】
新竹符**[0956***256]
20分鐘前【兒童咬合誘導】+【兒童咬合發育管理 : 上齶形態、口腔機能與衰弱預防】 - 【兒童咬合誘導】+【兒童咬合發育管理 : 上齶形態、口腔機能與衰弱預防】
嘉義趙**[0951***156]
2分鐘前【兒童咬合誘導】+【兒童咬合發育管理 : 上齶形態、口腔機能與衰弱預防】 - 【兒童咬合誘導】+【兒童咬合發育管理 : 上齶形態、口腔機能與衰弱預防】
臺南王**[0938***548]
5分鐘前【兒童咬合誘導】+【兒童咬合發育管理 : 上齶形態、口腔機能與衰弱預防】 - 【兒童咬合誘導】+【兒童咬合發育管理 : 上齶形態、口腔機能與衰弱預防】
臺南劉**[0918***507]
4分鐘前【兒童咬合誘導】+【兒童咬合發育管理 : 上齶形態、口腔機能與衰弱預防】 - 【兒童咬合誘導】+【兒童咬合發育管理 : 上齶形態、口腔機能與衰弱預防】
嘉義錢**[0986***723]
25分鐘前【兒童咬合誘導】+【兒童咬合發育管理 : 上齶形態、口腔機能與衰弱預防】 - 【兒童咬合誘導】+【兒童咬合發育管理 : 上齶形態、口腔機能與衰弱預防】
臺北孫**[0998***459]
2分鐘前【兒童咬合誘導】+【兒童咬合發育管理 : 上齶形態、口腔機能與衰弱預防】 - 【兒童咬合誘導】+【兒童咬合發育管理 : 上齶形態、口腔機能與衰弱預防】
臺南吳**[0938***325]
2分鐘前【兒童咬合誘導】+【兒童咬合發育管理 : 上齶形態、口腔機能與衰弱預防】 - 【兒童咬合誘導】+【兒童咬合發育管理 : 上齶形態、口腔機能與衰弱預防】
新北劉**[0933***363]
15分鐘前【兒童咬合誘導】+【兒童咬合發育管理 : 上齶形態、口腔機能與衰弱預防】 - 【兒童咬合誘導】+【兒童咬合發育管理 : 上齶形態、口腔機能與衰弱預防】
基隆黃**[0956***742]
25分鐘前【兒童咬合誘導】+【兒童咬合發育管理 : 上齶形態、口腔機能與衰弱預防】 - 【兒童咬合誘導】+【兒童咬合發育管理 : 上齶形態、口腔機能與衰弱預防】
臺南符**[0933***951]
20分鐘前【兒童咬合誘導】+【兒童咬合發育管理 : 上齶形態、口腔機能與衰弱預防】 - 【兒童咬合誘導】+【兒童咬合發育管理 : 上齶形態、口腔機能與衰弱預防】
桃園黃**[0986***775]
2分鐘前【兒童咬合誘導】+【兒童咬合發育管理 : 上齶形態、口腔機能與衰弱預防】 - 【兒童咬合誘導】+【兒童咬合發育管理 : 上齶形態、口腔機能與衰弱預防】
高雄周**[0968***611]
5分鐘前【兒童咬合誘導】+【兒童咬合發育管理 : 上齶形態、口腔機能與衰弱預防】 - 【兒童咬合誘導】+【兒童咬合發育管理 : 上齶形態、口腔機能與衰弱預防】
嘉義吳**[0946***291]
15分鐘前【兒童咬合誘導】+【兒童咬合發育管理 : 上齶形態、口腔機能與衰弱預防】 - 【兒童咬合誘導】+【兒童咬合發育管理 : 上齶形態、口腔機能與衰弱預防】
臺中陳**[0986***563]
15分鐘前【兒童咬合誘導】+【兒童咬合發育管理 : 上齶形態、口腔機能與衰弱預防】 - 【兒童咬合誘導】+【兒童咬合發育管理 : 上齶形態、口腔機能與衰弱預防】
新北朱**[0960***788]
半小時前【兒童咬合誘導】+【兒童咬合發育管理 : 上齶形態、口腔機能與衰弱預防】 - 【兒童咬合誘導】+【兒童咬合發育管理 : 上齶形態、口腔機能與衰弱預防】
嘉義楊**[0951***823]
20分鐘前【兒童咬合誘導】+【兒童咬合發育管理 : 上齶形態、口腔機能與衰弱預防】 - 【兒童咬合誘導】+【兒童咬合發育管理 : 上齶形態、口腔機能與衰弱預防】
新竹劉**[0956***963]
25分鐘前【兒童咬合誘導】+【兒童咬合發育管理 : 上齶形態、口腔機能與衰弱預防】 - 【兒童咬合誘導】+【兒童咬合發育管理 : 上齶形態、口腔機能與衰弱預防】
臺北張**[0986***384]
4分鐘前【兒童咬合誘導】+【兒童咬合發育管理 : 上齶形態、口腔機能與衰弱預防】 - 【兒童咬合誘導】+【兒童咬合發育管理 : 上齶形態、口腔機能與衰弱預防】
臺北王**[0966***509]
4分鐘前【兒童咬合誘導】+【兒童咬合發育管理 : 上齶形態、口腔機能與衰弱預防】 - 【兒童咬合誘導】+【兒童咬合發育管理 : 上齶形態、口腔機能與衰弱預防】
新北劉**[0918***920]
5分鐘前【兒童咬合誘導】+【兒童咬合發育管理 : 上齶形態、口腔機能與衰弱預防】 - 【兒童咬合誘導】+【兒童咬合發育管理 : 上齶形態、口腔機能與衰弱預防】
臺南柳**[0988***750]
15分鐘前【兒童咬合誘導】+【兒童咬合發育管理 : 上齶形態、口腔機能與衰弱預防】 - 【兒童咬合誘導】+【兒童咬合發育管理 : 上齶形態、口腔機能與衰弱預防】
新竹張**[0956***556]
12分鐘前【兒童咬合誘導】+【兒童咬合發育管理 : 上齶形態、口腔機能與衰弱預防】 - 【兒童咬合誘導】+【兒童咬合發育管理 : 上齶形態、口腔機能與衰弱預防】
臺中周**[0951***645]
4分鐘前【兒童咬合誘導】+【兒童咬合發育管理 : 上齶形態、口腔機能與衰弱預防】 - 【兒童咬合誘導】+【兒童咬合發育管理 : 上齶形態、口腔機能與衰弱預防】
基隆陳**[0938***903]
2分鐘前【兒童咬合誘導】+【兒童咬合發育管理 : 上齶形態、口腔機能與衰弱預防】 - 【兒童咬合誘導】+【兒童咬合發育管理 : 上齶形態、口腔機能與衰弱預防】
基隆鄭**[0951***103]
7分鐘前【兒童咬合誘導】+【兒童咬合發育管理 : 上齶形態、口腔機能與衰弱預防】 - 【兒童咬合誘導】+【兒童咬合發育管理 : 上齶形態、口腔機能與衰弱預防】
臺中方**[0933***774]
12分鐘前【兒童咬合誘導】+【兒童咬合發育管理 : 上齶形態、口腔機能與衰弱預防】 - 【兒童咬合誘導】+【兒童咬合發育管理 : 上齶形態、口腔機能與衰弱預防】
新竹陳**[0968***392]
12分鐘前【兒童咬合誘導】+【兒童咬合發育管理 : 上齶形態、口腔機能與衰弱預防】 - 【兒童咬合誘導】+【兒童咬合發育管理 : 上齶形態、口腔機能與衰弱預防】
新北王**[0933***822]
5分鐘前【兒童咬合誘導】+【兒童咬合發育管理 : 上齶形態、口腔機能與衰弱預防】 - 【兒童咬合誘導】+【兒童咬合發育管理 : 上齶形態、口腔機能與衰弱預防】
臺南李**[0951***598]
25分鐘前【兒童咬合誘導】+【兒童咬合發育管理 : 上齶形態、口腔機能與衰弱預防】 - 【兒童咬合誘導】+【兒童咬合發育管理 : 上齶形態、口腔機能與衰弱預防】
臺北黃**[0966***356]
4分鐘前【兒童咬合誘導】+【兒童咬合發育管理 : 上齶形態、口腔機能與衰弱預防】 - 【兒童咬合誘導】+【兒童咬合發育管理 : 上齶形態、口腔機能與衰弱預防】
基隆錢**[0933***493]
15分鐘前【兒童咬合誘導】+【兒童咬合發育管理 : 上齶形態、口腔機能與衰弱預防】 - 【兒童咬合誘導】+【兒童咬合發育管理 : 上齶形態、口腔機能與衰弱預防】
臺北朱**[0978***989]
15分鐘前【兒童咬合誘導】+【兒童咬合發育管理 : 上齶形態、口腔機能與衰弱預防】 - 【兒童咬合誘導】+【兒童咬合發育管理 : 上齶形態、口腔機能與衰弱預防】
高雄陳**[0956***390]
半小時前【兒童咬合誘導】+【兒童咬合發育管理 : 上齶形態、口腔機能與衰弱預防】 - 【兒童咬合誘導】+【兒童咬合發育管理 : 上齶形態、口腔機能與衰弱預防】
嘉義符**[0998***883]
5分鐘前【兒童咬合誘導】+【兒童咬合發育管理 : 上齶形態、口腔機能與衰弱預防】 - 【兒童咬合誘導】+【兒童咬合發育管理 : 上齶形態、口腔機能與衰弱預防】
基隆謝**[0986***487]
15分鐘前【兒童咬合誘導】+【兒童咬合發育管理 : 上齶形態、口腔機能與衰弱預防】 - 【兒童咬合誘導】+【兒童咬合發育管理 : 上齶形態、口腔機能與衰弱預防】
新北王**[0988***246]
12分鐘前【兒童咬合誘導】+【兒童咬合發育管理 : 上齶形態、口腔機能與衰弱預防】 - 【兒童咬合誘導】+【兒童咬合發育管理 : 上齶形態、口腔機能與衰弱預防】
臺北王**[0920***876]
15分鐘前【兒童咬合誘導】+【兒童咬合發育管理 : 上齶形態、口腔機能與衰弱預防】 - 【兒童咬合誘導】+【兒童咬合發育管理 : 上齶形態、口腔機能與衰弱預防】
新竹鍾**[0946***790]
2分鐘前【兒童咬合誘導】+【兒童咬合發育管理 : 上齶形態、口腔機能與衰弱預防】 - 【兒童咬合誘導】+【兒童咬合發育管理 : 上齶形態、口腔機能與衰弱預防】
基隆楊**[0920***580]
4分鐘前【兒童咬合誘導】+【兒童咬合發育管理 : 上齶形態、口腔機能與衰弱預防】 - 【兒童咬合誘導】+【兒童咬合發育管理 : 上齶形態、口腔機能與衰弱預防】
臺北仲**[0951***563]
半小時前【兒童咬合誘導】+【兒童咬合發育管理 : 上齶形態、口腔機能與衰弱預防】 - 【兒童咬合誘導】+【兒童咬合發育管理 : 上齶形態、口腔機能與衰弱預防】
基隆周**[0918***164]
20分鐘前【兒童咬合誘導】+【兒童咬合發育管理 : 上齶形態、口腔機能與衰弱預防】 - 【兒童咬合誘導】+【兒童咬合發育管理 : 上齶形態、口腔機能與衰弱預防】
嘉義黃**[0932***748]
15分鐘前【兒童咬合誘導】+【兒童咬合發育管理 : 上齶形態、口腔機能與衰弱預防】 - 【兒童咬合誘導】+【兒童咬合發育管理 : 上齶形態、口腔機能與衰弱預防】
新竹李**[0986***154]
7分鐘前【兒童咬合誘導】+【兒童咬合發育管理 : 上齶形態、口腔機能與衰弱預防】 - 【兒童咬合誘導】+【兒童咬合發育管理 : 上齶形態、口腔機能與衰弱預防】
新北鄭**[0932***206]
5分鐘前【兒童咬合誘導】+【兒童咬合發育管理 : 上齶形態、口腔機能與衰弱預防】 - 【兒童咬合誘導】+【兒童咬合發育管理 : 上齶形態、口腔機能與衰弱預防】
臺北柳**[0933***423]
15分鐘前【兒童咬合誘導】+【兒童咬合發育管理 : 上齶形態、口腔機能與衰弱預防】 - 【兒童咬合誘導】+【兒童咬合發育管理 : 上齶形態、口腔機能與衰弱預防】

NT$2000
2024新書推薦:阻生牙正畸與外科聯合治療策略

NT$4800
【口腔種植軟硬組織增量:自體組織移植技術】(全新正版,非影印版)

NT$3150
口腔頜面:【頭頸外科手術學】(第2版)

NT$3000
【兒童口腔醫學臨床策略原著】(第三版)

NT$2500
兒童牙病臨床病例解析 第2版

NT$2800
口腔激光治療新視界

NT$2280
微創牙齒美學修復學

NT$1967
口腔精萃系列--口腔種植工藝操作流程:分步驟操作指南

NT$2300
一步一步做好美學修復牙體預備+Step by Step:一步一步做好根管治療(圖譜)

NT$1750
阻生智齒拔除術視頻圖譜--渦輪鑽法(第2版/配增值)

NT$1880
牙體牙髓病病例精解

NT$1500
口腔正畸學精要

NT$3100
口腔種植規範化治療清單

NT$2600
可摘局部義齒設計與應用技術圖解

NT$2600
牙髓病最佳臨床操作指導

NT$1980
口腔局部麻醉精要

NT$2620
自體牙移植與再植技巧+拔牙技巧(全兩冊)

NT$5000
【口腔住院醫師專科科技圖解11卷】

NT$2600
6月新版【片岡繁夫牙齒形態學】

NT$3750
【中國口腔數位化】——從臨床科技到病例精選

NT$5000
【口腔正畸隱適美隱形矯治科技】

NT$3600
【重拾笑容——美學區複雜種植全域觀】

NT$3180
【口腔診所管理叢書】(全9册)

NT$12000
【膜齦美學手術精要】(精裝)

NT$3980
【無托槽隱形矯治科技精粹】(附帶方案類比視頻)

NT$1455
【可摘義齒口腔系列】

NT$2415
國際口腔種植學會(ITI)口腔種植臨床指南2-11卷+牙種植學SAC分類

NT$4600
【實用口腔正畸臨床技術圖譜】+【實用正畸弓絲彎制技術圖譜】+【實用蛤蟆弓應用技術圖譜】+【實用正畸弓絲臨床應用圖譜】

NT$2650
3D牙周美容手術圖譜:【天然牙篇】+【種植·橋體篇】(全新塑封兩册)

NT$1830
【新書推薦】短種植體與超短種植體/數字化牙科診療實踐/顯微外科牙髓病學/上頜竇骨移植技術:第3版(正版譯著)